耳鼻喉科臨床新利器:手持式超音波在診斷中的應用

隨著行動醫療技術的進步,手持式超音波 已經逐漸成為耳鼻喉科臨床的重要輔助工具。過去需要仰賴大型超音波機器的檢查,如今透過輕巧的設備,醫師能在門診、病房甚至急診現場,快速取得即時影像,大幅提升診斷與治療的效率。
(延伸閱讀:醫學專欄 | A型流感的肺部併發症:手持式超音波的協助診斷與監測)
為什麼耳鼻喉科需要手持式超音波?
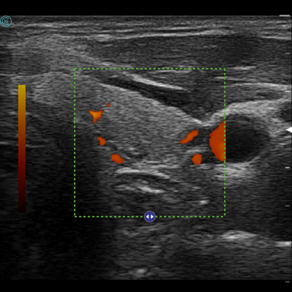
耳鼻喉科患者常見的問題包括 甲狀腺結節、頸部淋巴結腫大、唾液腺腫瘤、鼻竇炎 等。這些疾病往往需要影像學輔助才能做出精準判斷。傳統 CT 或 MRI 雖然能提供高解析度,但成本高、檢查時間長,並且可能造成患者輻射暴露。
相比之下,當診所醫師使用手持式超音波具備以下優勢:
- 即時性:醫師在門診即可快速掃描,立即判斷病灶性質。
- 便利性:輕巧無線設計,適合隨身攜帶,應用於急診或病房。
- 安全性:無輻射風險,患者可反覆追蹤檢查。
- 精準性:可用於細針抽吸(FNA)導引,提升操作準確度。
耳鼻喉科的臨床應用案例
- 甲狀腺與副甲狀腺檢查:快速檢測結節大小與性質,並協助追蹤變化。
- 頸部淋巴結掃描:辨別是否為發炎或惡性腫瘤轉移。
- 唾液腺病變:檢查是否有結石、腫瘤或囊腫。
- 鼻竇積液:在特定情況下,輔助觀察鼻竇是否有異常液體。
(延伸閱讀:醫學專欄 | 超音波檢查重不重要?及早發現甲狀腺結節更重要)
Apache neo 手持式超音波的未來趨勢
隨著 AI 與行動醫療的結合,手持式超音波 將不只是診斷工具,更能結合雲端與影像分析,在耳鼻喉科診斷與治療中,手持式超音波不僅能協助醫師快速評估甲狀腺、唾液腺與頸部腫塊,更能在門診、手術前後及追蹤中,提供即時、安全且高效的影像支持。
讓病人獲得更完善的照護。隨著臨床需求不斷增加,手持式超音波已不再只是輔助,而是醫師診療流程中不可或缺的重要夥伴。
(延伸閱讀:Apache neo L154 手持式超音波)


